欢迎您访问智联医疗(大连)有限公司官方网站!
病例展示
当前位置: 首页 > 病例展示 > 病例展示

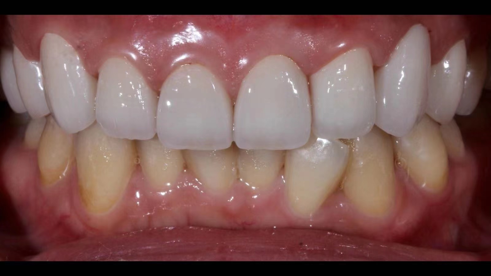
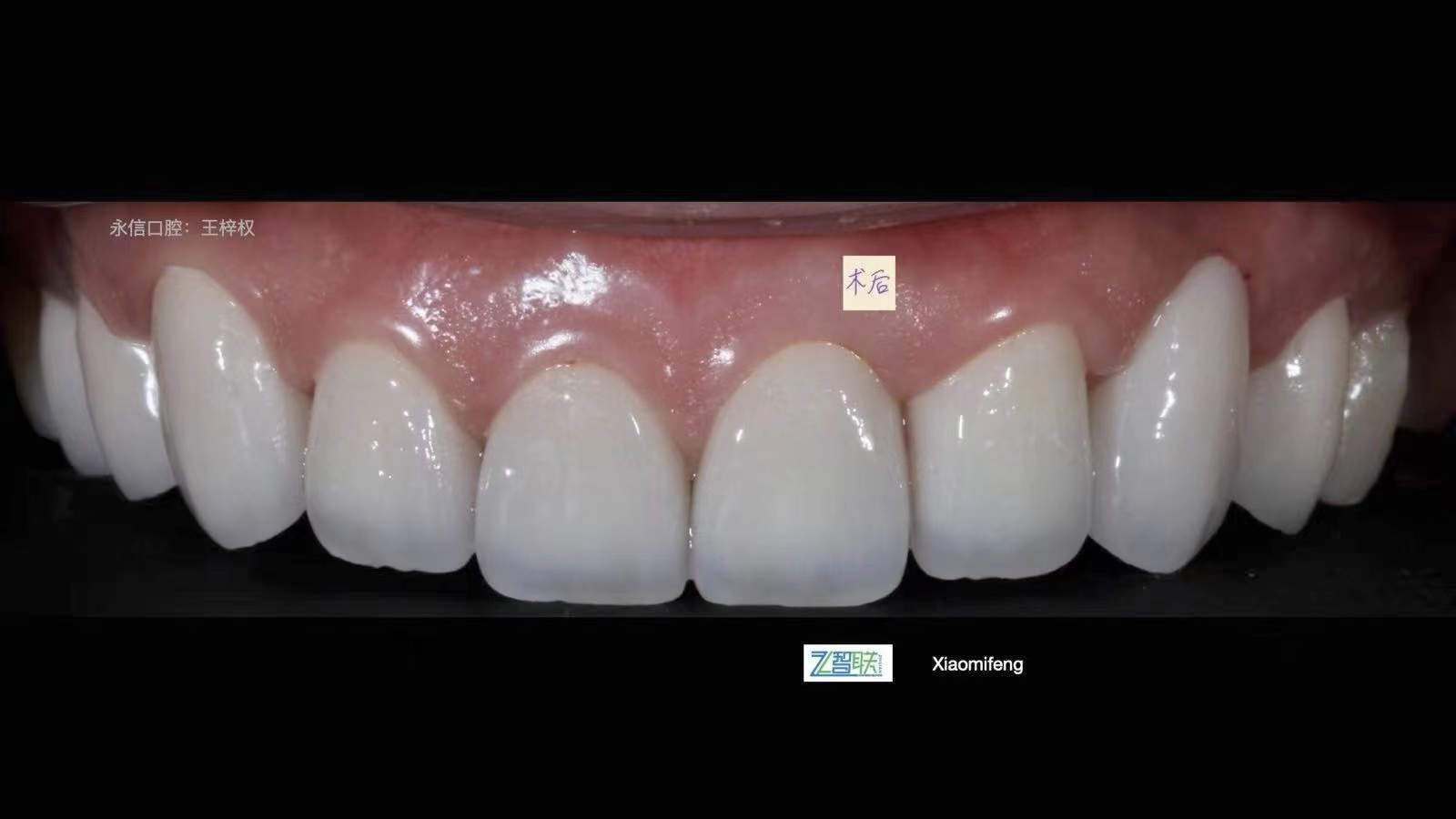
病例展示2

 此修复体为整体全锆修复,无传统上瓷工艺避免了上瓷后出现蹦瓷现象,颜色九层渐变并且具有高通透性解决了全锆颜色不通透的问题,并且可做前牙区全锆解刨形态修复、强度从颈部到切端900Mpa~600Mpa

地址:辽宁省大连市甘井子区姚家工业区姚北路23-1号

版权所有:欧迪克     ICP备案编号:辽ICP备2023003130号