04-24
智联医疗(大连)有限公司
智联医疗(大连)有限公司
了解更多
普通氧化锆区别主要是抗压强度,饰瓷结合、化学稳定性、生物相容性、其中平均强度保持在1000Mpa左右...
材质详情及使用病例1
此修复体为整体全锆修复,无传统上瓷工艺避免了上瓷后出现蹦瓷现象,颜色九层渐变并且具有高通透性解决了...
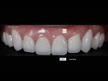
材质详情及使用病例2
患者主诉:门牙太突,影响美观… 修复方案:上颌2—2 氧化锆冠修复
材质详情及使用病例3
地址:辽宁省大连市甘井子区姚家工业区姚北路23-1号
版权所有:欧迪克 ICP备案编号:辽ICP备2023003130号